科研服务
杭州御健生物科技有限公司
联系人:王经理
手 机:15356113758
电 话:0571-8607-6275
传 真:0571-8607-6278
邮 箱:yujianbiotech@163.com
网 址:www.hyjbiotech.com
地 址:浙江省杭州市滨江区浦沿滨科大厦6楼
病理学实验
您现在的位置: 首页 > 科研服务 > 病理学实验

凋亡检测

TUNEL是分子生物学与形态学相结合的一种研究方法。细胞凋亡过程中,染色体DNA发生双链断裂或单链断裂,从而
产生大量带有游离3'末端的DNA片段。脱氧核糖核苷酸末端转移酶(TdT)可以将荧光素、过氧化物酶、碱性磷酸化酶或生
物素形成的衍生物标记到DNA的3'-末端,从而对凋亡细胞或凋亡小体进行原位染色,检测细胞凋亡。
TUNEL法是在细胞和组织层次上进行生物学反应,结果直观,便于观察;可检测出极少量的凋亡细胞,灵敏度远比一般
的组织化学和生物化学测定法要高。
实验步骤:
1.充分脱蜡和水化
2.3%过氧化氢甲醇中浸洗10min,抑制内源性过氧化氢酶
3.用蛋白酶K(20μg/ml溶于Tris/HCl中,pH7.4~8.0)室温孵育15min
4.PBS洗2次,每次5min,擦干样品周围的水
5.此阶段配制TUNEL反应混合物——从试剂2中取出100μl标记溶液作为两个阴性对照;将试剂1中取5μl+试剂2中45μl标记液中,配成50μl TUNEL反应混合物混匀(即配即用,4℃避光)
6.标记反应:滴加50μl的TUNEL反应混合液,在湿盒中37℃孵育60min。PBS洗3次,每次5min,至此样品可在荧光显微镜下(绿色)分析结果
7.信号转化和分析:擦干样品周围的水分,加入50ul转化剂-POD,湿盒中37℃孵育30min。PBS洗5min*5次
8.加入50~100μl DAB底物溶液,室温(10~25℃)孵育5 min,PBS洗5min*3次
9.中性树胶或者甘油封片(在封片前可以复染),光镜下分析结果
我们提供:
1.提供完成实验的玻片
2.提供具体的实验方法、步骤、所用试剂、仪器、及相关分析数据等,实验结果将以电子或书面形式提交给您
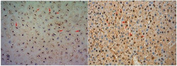
结果示意图: 
服务周期:

服务内容 说明 价格∕元 实验周期
Tunel凋亡 提供白片 300元∕张 3个工作日

温馨提醒:
1.提供新鲜的组织、固定过的组织、石蜡包埋的组织、细胞爬片、石蜡切片、冰冻切片
2.提供具体的拍照部位
上一页组织芯片
下一页

版权所有:杭州御健生物科技有限公司  技术支持:浙江盘石
联系电话:0571-8607-6275 邮箱:yujianbiotech@163.com 联系人:王经理 地址:浙江省杭州市滨江区浦沿滨科大厦6楼